Kardiale Bildgebung (CT & MRT)
Herzlich Willkommen auf der Seite der kardialen Schnittbildgebung des Universitätsklinikums Heidelberg!
Unsere kardiale Schnittbildgebung beinhaltet das Kardio-MRT und Kardio-CT und wird betreut durch unsere Arbeitsgruppe Kardiale Bildgebung (CT/MRT) der Klinik für Kardiologie, Angiologie und Pneumologie.


Anmeldungen
Praktische Informationen für Patient*innen
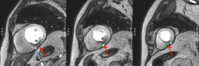
Kardio-MRT
Die Magnetresonanztomographie des Herzens (Kardio-MRT) hat in den letzten Jahren eine rasante Entwicklung genommen und nimmt eine immer wichtigere Rolle in der Diagnostik, Therapieplanung und Risikoabschätzung bei Patient*innen mit Herzerkrankungen ein. In unserer Abteilung führen wir seit 2006 kardiale MRT-Untersuchungen durch und haben bisher gut 40.000 Untersuchungen durchgeführt. Aktuell stehen uns hierfür dank großzügiger Unterstützung der Dietmar-Hopp-Stiftung zwei moderne MR-Geräte (1.5 und 3T) zur alleinigen Durchführung von Kardio-MRTs in eigens umgebauten Räumlichkeiten zur Verfügung.

Das 1,5 Tesla-Gerät erlaubt die Untersuchung von Patient*innen mit den häufigsten Implantaten, während am 3 Tesla-Gerät auf Grund der größeren Röhrenöffnung auch übergewichtige Patient*innen sowie Patient*innen mit Platzangst untersucht werden können.

Auf Grund der hohen räumlichen und zeitlichen Auflösung sowie der hervorragenden Gewebedarstellung können mittels kardialer MRT sowohl die Gewebezusammensetzung als auch Funktion aller Herz - und Gefäßanteile exzellent mit hoher Genauigkeit dargestellt und charakterisiert werden. Als nicht-invasives Verfahren, welches ohne ionisierende Strahlung (Röntgenstrahlung) auskommt, ist die kardiale MRT zudem ein äußerst sicheres Verfahren, das auch mehrfache Verlaufsuntersuchungen – beispielsweise bei Herzmuskelerkrankungen – erlaubt. Sie bietet darüber hinaus gegenüber anderen Bildgebungsmodalitäten den Vorteil, das Gewebe des Herzens nicht-invasiv charakterisieren zu können, was sonst nur mittels histologischer Analysen nach Biopsieentnahme möglich wäre. Diese „Gewebecharakterisierung“ erfolgt einerseits mittels spezieller Late Gadolinium Enhancement-Aufnahmen, bei denen die Patient*innen ein gut verträgliches MRT-Kontrastmittel erhalten und andererseits mittels moderner Mapping-Techniken, welche größtenteils ohne Kontrastmittelapplikation auskommen. Durch diese Techniken können Fibrose, Narben (z.B. nach Herzinfarkt) oder Wassereinlagerungen (Ödem) im Herzmuskel festgestellt werden.
Dank kontinuierlicher technischer und wissenschaftlicher Weiterentwicklung kann mittlerweile eine Vielzahl von herzspezifischen Fragestellungen gezielt durch die kardiale MRT beantwortet werden.
Einen großen Stellenwert hat die kardiale MRT in der Ischämiediagnostik bei koronarer Herzerkrankung. Hierbei können mittels pharmakologischer Belastungsuntersuchungen mit Vasodilatatoren (Adenosin) oder mit positiv inotrop wirkenden Substanzen (Dobutamin) Durchblutungs- oder die daraus resultierenden Bewegungsstörungen des Herzmuskels identifiziert werden. Durch diese Methode können mit einer hohen Genauigkeit hämodynamisch relevante Engstellen der Herzkranzgefäße entdeckt sowie deren Auswirkung auf die Herzmuskeldurchblutung bestimmt werden.

Ein weiterer wichtiger Aufgabenbereich der kardialen MRT stellt die Diagnostik und Risikostratifizierungen von primären Herzmuskelerkrankungen (Kardiomyopathien) dar. Neben der Beurteilung der Funktion und Struktur des Herzens ist dabei die Gewebecharakterisierung von herausragender Bedeutung, da insbesondere die Patient*innen, bei denen Vernarbungen und Fibrose im Herzmuskel nachgewiesen werden kann, ein erhöhtes Risiko aufweisen.

Weiter wesentliche Schwerpunkte der kardialen MRT sind die Erkennung von entzündlichen Veränderungen im Herzmuskel (z.B. Myokarditis), die Differenzierung von Speichererkrankungen des Herzens (z.B. Amyloidose), Verlaufskontrolle der Herzfunktion unter Chemotherapie bis hin zu komplexen angeborenen Herzfehlern. Mittlerweile können auch Herzklappenfehler und intrakardiale Shunts exakt mit der kardialen MRT ausgemessen werden.
In Zusammenarbeit mit der Klinik für Kinderkardiologie und angeborene Herzfehler führen wir zudem auch vorgeburtliche kardiale MRT-Untersuchungen an ungeborenen Kindern (fetales Kardio-MRT / fetales MRT) durch und können somit bei unklaren Diagnosen die Beurteilung der Schwere der Herzfehler deutlich verbessern. Für weitere Informationen und Kontaktmöglichkeiten klicken Sie hier. (Link zur Pressemitteilung)

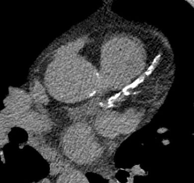
Kardio-CT
Kardio-CT
Die anatomische Darstellung der Herzkranzgefäße sowie der großen Herznahen Gefäße sind elementarer Bestandteil der kardiologischen Diagnostik und entscheidend für die Therapieplanung bei Patient*innen mit Brustschmerz. War früher die invasive Koronarangiographie die einzige Möglichkeit die Herzkranzgefäße zu untersuchen, ist nun das Kardio-CT mit gleicher diagnostischer Sicherheit etabliert und weltweit in den Leitlinien empfohlen.

Alternativ oder ergänzend können mit dem sogenannten Calcium-Scoring unter geringer Strahlendosis und ohne den Einsatz von Kontrastmittel Verkalkungen der ausgeschlossen werden.

Neben Diagnostik bei stabilem Thoraxschmerz, hilft die CT-Angiographie auch in der Akutdiagnostik. So können neben Engstellen an den Herzkranzgefäßen auch andere, potentiell lebensbedrohliche Erkrankungen wie Lungenarterienembolien oder Erkrankungen der Hauptschlagader (beispielsweise eine Aortendissektion) im Rahmen einer einzigen kontrastmittelverstärkter CT Untersuchung zuverlässig ausgeschlossen werden. Ein weiteres auf Grund des technischen Fortschritts der invasiven Kardiologie immer wichtiger werdendes Feld ist die CT-Angiographie zur Planung komplexer interventioneller Herzklappeneingriffe (z.B. vor transfemoraler Aortenklappenimplantation).
In Kooperation mit der Klinik für diagnostische und interventionelle Radiologie führen wir ambulante und stationäre Kardio-CT-Untersuchungen an zwei hochmodernen CT-Geräten (Philips IQon Spectral CT und Siemens Somatom Force) durch. Wir sind zertifiziertes Zentrum der deutschen Gesellschaft für Kardiologie und haben seit vielen Jahren Erfahrung in der Durchführung.
Arbeitsgruppe kardiale Bildgebung (CT/MRT)






Doktorarbeiten
Im Rahmen laufender retrospektiver und prospektiver Projekte betreuen wir regelmäßig medizinische Doktorand*innen. Initiativbewerbungen mit Lebenslauf können gerne an florian.andre@med.uni-heidelberg.de gerichtet werden.
Förderungen
2023 Ailís Haney: Sonderforschungsförderung „Angeborene Herzfehler“ der Deutschen Herzstiftung e.V.
2022/2023 Janek Salatzki: Rotation Grand des Deutschen Zentrums für Herz-Kreislauf-Forschung (DZHK)
2021/2022 Lukas Weberling: Rotation Grand des Deutschen Zentrums für Herz-Kreislauf-Forschung (DZHK)
Ärztliche Ausbildung in der Kardialen Bildgebung
Wir engagieren uns für die Ausbildung aktueller und zukünftiger Kardiolog*innen in der kardialen Schnittbildgebung. Sprechen Sie uns gerne an! Hilfen für den Start in die Thematik, Ansprechpartner*innen und eine Übersicht an Fort- und Weiterbildungsformaten bieten auch die Seiten der Arbeitsgruppe 21 (Kardio-MRT) und 24 (Kardio-CT) der Deutschen Gesellschaft für Kardiologie e.V., an denen wir ebenfalls aktiv beteiligt sind.
Kongress- und Fortbildungsneuigkeiten sowie interessante Fälle gibt es auch immer auf der LinkedIn-Seite der Arbeitsgruppe 21, auch mit Heidelberger Beteiligung.
Ausgewählte Publikationen
Haney AC, Roy R, Andre F, Chadalavada S, Aung N, Frey N, Petersen SE, Salatzki J, Raisi-Estabragh Z. Cardiac Magnetic Resonance Rapid Longitudinal Shortening Metrics Predict Cardiovascular Outcomes. Eur Heart J Cardiovasc Imaging. 2025 Aug 9:jeaf229. doi: 10.1093/ehjci/jeaf229. Epub ahead of print. PMID: 40795398.
Weberling LD, Ochs A, Benovoy M, Aus dem Siepen F, Salatzki J, Giannitsis E, Duan C, Maresca K, Zhang Y, Möller J, Friedrich S, Schönland S, Meder B, Friedrich MG, Frey N, André F. Machine Learning to Automatically Differentiate Hypertrophic Cardiomyopathy, Cardiac Light Chain, and Cardiac Transthyretin Amyloidosis: A Multicenter CMR Study. Circ Cardiovasc Imaging. 2025 Jul;18(7):e017761. doi: 10.1161/CIRCIMAGING.124.017761. Epub 2025 Jun 4. PMID: 40464070.
Haney AC, Salatzki J, Badran Y, Ochs A, Weberling LD, Hund H, Giannitsis E, Frey N, Steen H, Loßnitzer D, André F. Enhanced risk stratification in chronic coronary syndrome using the left atrioventricular coupling index. Clin Res Cardiol. 2025 Jun 23. doi: 10.1007/s00392-025-02699-0. Epub ahead of print. PMID: 40549034.
Weberling LD, Hillier E, Friedrich MG, Zahlten M, Frey N, André F, Steen H. Abnormal coronary vascular response in patients with long COVID syndrome - a case-control study using oxygenation-sensitive cardiovascular magnetic resonance. J Cardiovasc Magn Reson. 2025 Summer;27(1):101890. doi: 10.1016/j.jocmr.2025.101890. Epub 2025 Apr 2. PMID: 40185235; PMCID: PMC12182812.
Ochs A, Nippes M, Salatzki J, Weberling LD, Osman N, Riffel J, Katus HA, Friedrich MG, Frey N, Ochs MM, André F. Dynamic handgrip exercise for the detection of myocardial ischemia using fast Strain-ENCoded cardiovascular magnetic resonance. J Cardiovasc Magn Reson. 2025 Summer;27(1):101879. doi: 10.1016/j.jocmr.2025.101879. Epub 2025 Mar 12. PMID: 40086634; PMCID: PMC12076776.
Haney AC, Salatzki J, Ochs A, Hilbel T, Weberling LD, Hund H, Giannitsis E, Frey N, Steen H, Lossnitzer D, André F. Prognostic value of stress cardiovascular magnetic resonance in patients with ischaemic heart disease and severely reduced left ventricular ejection fraction. Open Heart. 2025 Aug 26;12(2):e003466. doi: 10.1136/openhrt-2025-003466. PMID: 40858352; PMCID: PMC12382561.
Weichsel L, André F, Renker M, Weberling LD, Breitbart P, Overhoff D, Beer M, Vattay B, Buss S, Marwan M, Baumann S, Giannopoulos AA, Solowjowa N, Kelle S, Frey N, Korosoglou G, On Behalf Of The Locate Investigators. Longitudinal Effects of Lipid-Lowering Treatment on High-Risk Plaque Features and Pericoronary Adipose Tissue Attenuation Using Serial Coronary Computed Tomography. Diagnostics (Basel). 2025 Sep 16;15(18):2340. doi: 10.3390/diagnostics15182340. PMID: 41008712; PMCID: PMC12468858.
Salatzki J, Ochs A, Weberling LD, Heins J, Zahlten M, Whayne JG, Stehning C, Giannitsis E, Denkinger CM, Merle U, Buss SJ, Steen H, André F, Frey N. Absence of cardiac impairment in patients after severe acute respiratory syndrome coronavirus type 2 infection: A long-term follow-up study. J Cardiovasc Magn Reson. 2024 Winter;26(2):101124. doi: 10.1016/j.jocmr.2024.101124. Epub 2024 Nov 15. PMID: 39549839; PMCID: PMC11663758.
Weberling LD, Albert D, Ochs A, Ochs M, Siry D, Salatzki J, Giannitsis E, Frey N, Riffel J, André F. Layer-specific fast strain-encoded cardiac magnetic resonance imaging aids in the identification and discrimination of acute myocardial injury: a prospective proof-of-concept study. J Cardiovasc Magn Reson. 2024 Summer;26(1):101001. doi: 10.1016/j.jocmr.2024.101001. Epub 2024 Jan 19. PMID: 38244931; PMCID: PMC11211227.
Heins J, Salatzki J, Köhrer A, Ochs A, Weberling LD, Hund H, Giannitsis E, Frey N, Loßnitzer D, André F, Steen H. Safety of dobutamine stress cardiovascular magnetic resonance in patients with prior coronary artery bypass grafting. J Cardiovasc Magn Reson. 2024 Winter;26(2):101119. doi: 10.1016/j.jocmr.2024.101119. Epub 2024 Oct 28. PMID: 39471913; PMCID: PMC11655678.
Schuppert C, Salatzki J, André F, Riffel J, Mangold DL, Melzig C, Hagar MT, Kauczor HU, Weber TF, Rengier F, Do TD. Feasibility of Reduced Iodine Loads for Vascular Assessment Prior to Transcatheter Aortic Valve Implantation (TAVI) Using Spectral Detector CT. Diagnostics (Basel). 2024 Apr 24;14(9):879. doi: 10.3390/diagnostics14090879. PMID: 38732294; PMCID: PMC11082960.
Haney A, Salatzki J, Hund H, Friedrich M, Giannitsis E, Frey N, Steen H, Lossnitzer D, Riffel J, André F. Prognostic value of negative stress cardiac magnetic resonance imaging in patients with moderate-severe coronary artery stenosis. Frontiers in Cardiovascular Medicine. 2023. 10. 10.3389/fcvm.2023.1264374.
Weberling LD, Seitz S, Salatzki J, Ochs A, Heins J, Haney AC, Siry D, Frey N, André F, Steen H. Safety of dobutamine or adenosine stress cardiac magnetic resonance imaging in patients with left ventricular thrombus. Clin Res Cardiol. 2023 Oct 16. doi: 10.1007/s00392-023-02317-x. Epub ahead of print. PMID: 37843560.
Andre F, Seitz S, Fortner P, Allmendinger T, Sommer A, Brado M, Sokiranski R, Fink J, Kauczor HU, Heussel CP, Herth F, Frey N, Görich J, Buss SJ. Simultaneous assessment of heart and lungs with gated high-pitch ultra-low dose chest CT using artificial intelligence-based calcium scoring. Eur J Radiol Open. 2023 Feb 15;10:100481. doi: 10.1016/j.ejro.2023.100481. PMID: 36852255; PMCID: PMC9958356.
Salatzki J, Ochs A, Kirchgäßner N, Heins J, Seitz S, Hund H, Mereles D, Friedrich MG, Katus HA, Frey N, André F, Ochs MM. Safety of Stress Cardiac Magnetic Resonance in Patients With Moderate to Severe Aortic Valve Stenosis. J Cardiovasc Imaging. 2023 Jan;31(1):26-38. doi: 10.4250/jcvi.2022.0063. PMID: 36693342; PMCID: PMC9880345.
Weberling LD, Seitz S, Salatzki J, Ochs A, Haney AC, Siry D, Heins J, Steen H, Frey N, André F. Safety, accuracy, and prediction of prognosis in patients with end-stage chronic kidney disease undergoing dobutamine stress cardiac magnetic resonance imaging. Front Cardiovasc Med. 2023 Aug 30;10:1228691. doi: 10.3389/fcvm.2023.1228691. PMID: 37711564; PMCID: PMC10498284.
Weberling LD, Lossnitzer D, Frey N, André F. Coronary Computed Tomography vs. Cardiac Magnetic Resonance Imaging in the Evaluation of Coronary Artery Disease. Diagnostics (Basel). 2022 Dec 30;13(1):125. doi: 10.3390/diagnostics13010125. PMID: 36611417; PMCID: PMC9818886.
Siry D, Riffel J, Salatzki J, André F, Weberling LD, Ochs M, Atia NA, Hillier E, Albert D, Katus HA, Giannitsis E, Frey N, Friedrich MG. A head-to-head comparison of fast-SENC and feature tracking to LV long axis strain for assessment of myocardial deformation in chest pain patients. BMC Med Imaging. 2022 Sep 5;22(1):159. doi: 10.1186/s12880-022-00886-3. PMID: 36064332; PMCID: PMC9442977.
Salatzki J, Giannitsis E, Hegenbarth A, Mueller-Hennessen M, André F, Katus HA, Frey N, Biener M. Correlation of serial high-sensitivity cardiac Troponin T values to infarct mass determined by cardiac magnetic resonance imaging: a validation study. Eur Heart J Acute Cardiovasc Care. 2022 Nov 30;11(11):826-833. doi: 10.1093/ehjacc/zuac122. PMID: 36184989.
Weberling LD, Steen H, Frey N, André F. Large Mobile Left Ventricular Thrombi Formation in a 32-Year-Old Despite Direct Oral Anticoagulation With Dabigatran. JACC Case Rep. 2022 Aug 17;4(16):1015-1019. doi: 10.1016/j.jaccas.2022.05.033. PMID: 36062055; PMCID: PMC9434649.
Siry D, Riffel JH, Salatzki J, Andre F, Ochs M, Weberling LD, Giannitsis E, Katus HA, Friedrich MG. Hypverventilation strain CMR imaging in patients with acute chest pain. Sci Rep. 2022 Aug 9;12(1):13584. doi: 10.1038/s41598-022-17856-y. PMID: 35945332; PMCID: PMC9363440.
Weberling LD, Friedrich MG. Sauerstoffsensitive kardiale Magnetresonanztomographie [Oxygenation-sensitive cardiac magnetic resonance imaging]. Radiologie (Heidelb). 2022 Nov;62(11):971-976. German. doi: 10.1007/s00117-022-01049-9. Epub 2022 Jul 29. PMID: 35904573.
Ochs A, Nippes M, Salatzki J, Weberling LD, Riffel J, Müller-Hennessen M, Giannitsis E, Osman N, Stehning C, André F, Katus HA, Frey N, Friedrich MG, Ochs MM. Dynamic Handgrip Exercise: Feasibility and Physiologic Stress Response of a Potential Needle-Free Cardiac Magnetic Resonance Stress Test. Front Cardiovasc Med. 2021 Nov 29;8:755759. doi: 10.3389/fcvm.2021.755759. PMID: 34912862; PMCID: PMC8666587.
Salatzki J, Fischer T, Riffel J, André F, Hirschberg K, Ochs A, Hund H, Müller-Hennessen M, Giannitsis E, Friedrich MG, Scholz E, Frey N, Katus HA, Ochs M. Presence of contractile impairment appears crucial for structural remodeling in idiopathic left bundle-branch block. J Cardiovasc Magn Reson. 2021 Apr 1;23(1):39. doi: 10.1186/s12968-021-00731-6. PMID: 33789682; PMCID: PMC8015193.
Ochs A, Riffel J, Ochs MM, Arenja N, Fritz T, Galuschky C, Schuster A, Bruder O, Mahrholdt H, Giannitsis E, Frey N, Katus HA, Buss SJ, André F. Myocardial mechanics in dilated cardiomyopathy: prognostic value of left ventricular torsion and strain. J Cardiovasc Magn Reson. 2021 Dec 2;23(1):136. doi: 10.1186/s12968-021-00829-x. PMID: 34852822; PMCID: PMC8638178.
Salatzki J, Mohr I, Heins J, Cerci MH, Ochs A, Paul O, Riffel J, André F, Hirschberg K, Müller-Hennessen M, Giannitsis E, Friedrich MG, Merle U, Weiss KH, Katus HA, Ochs M. The impact of Wilson disease on myocardial tissue and function: a cardiovascular magnetic resonance study. J Cardiovasc Magn Reson. 2021 Jun 24;23(1):84. doi: 10.1186/s12968-021-00760-1. PMID: 34162411; PMCID: PMC8223377.
Steen H, Montenbruck M, Kelle S, Esch S, Schwarz AK, Giusca S, Korosoglou G. Fast-Strain Encoded Cardiac Magnetic Resonance During Vasodilator Perfusion Stress Testing. Front Cardiovasc Med. 2021 Nov 17;8:765961. doi: 10.3389/fcvm.2021.765961. PMID: 34869679; PMCID: PMC8635645.
Giusca S, Korosoglou G, Montenbruck M, Geršak B, Schwarz AK, Esch S, Kelle S, Wülfing P, Dent S, Lenihan D, Steen H. Multiparametric Early Detection and Prediction of Cardiotoxicity Using Myocardial Strain, T1 and T2 Mapping, and Biochemical Markers: A Longitudinal Cardiac Resonance Imaging Study During 2 Years of Follow-Up. Circ Cardiovasc Imaging. 2021 Jun;14(6):e012459. doi: 10.1161/CIRCIMAGING.121.012459. Epub 2021 Jun 15. PMID: 34126756; PMCID: PMC8208092.
Steen H, Giusca S, Montenbruck M, Patel AR, Pieske B, Florian A, Erley J, Kelle S, Korosoglou G. Left and right ventricular strain using fast strain-encoded cardiovascular magnetic resonance for the diagnostic classification of patients with chronic non-ischemic heart failure due to dilated, hypertrophic cardiomyopathy or cardiac amyloidosis. J Cardiovasc Magn Reson. 2021 Apr 5;23(1):45. doi: 10.1186/s12968-021-00711-w. PMID: 33823860; PMCID: PMC8025329.
Korosoglou G, Giusca S, Montenbruck M, Patel AR, Lapinskas T, Götze C, Zieschang V, Al-Tabatabaee S, Pieske B, Florian A, Erley J, Katus HA, Kelle S, Steen H. Fast Strain-Encoded Cardiac Magnetic Resonance for Diagnostic Classification and Risk Stratification of Heart Failure Patients. JACC Cardiovasc Imaging. 2021 Jun;14(6):1177-1188. doi: 10.1016/j.jcmg.2020.10.024. Epub 2021 Jan 13. PMID: 33454266.







