Bild des Monats
Hier stelle ich regelmäßig ein neues spannendes Bild aus unserer Endoskopie ein, ggf. mit einer kleinen klinischen Fallvorstellung. Wir laden Sie ein, die Diagnose zu stellen. Die Auflösung und nähere Informationen zum Fall oder dem vorgestellten Krankheitsbild erhalten Sie durch einen Klick auf den Link unter den Bildern. Haben Sie beim Endoskopieren etwas Spannendes oder Seltenes gesehen? Foto machen und an mich schicken. Ich stelle es gern hier vor.
Viel Spaß beim Endoskopieren!
Prof. Dr. Ronald Koschny
März 2025
Ein 37-jähriger Patient mit äthyltoxischer Leberzirrhose wird im Rahmen der Listungsuntersuchungen zur ÖGD vorgestellt. Es waren keine Ösophagus- oder Fundusvarizen nachweisbar. Im Corpus findet sich großkurvaturseitig eine fibrinbelegte Einsenkung. Eine vorsichtige Freilegung des Fibringrundes mit der Biopsiezange förderte eine Metallschlaufe zu Tage.
Worum handelt es sich hier?

Februar 2025
Eine 57-jährige Patientin zeigte als Zufallsbefund im MRT eine 15mm große Raumforderung (Bild links «RF») im Pankreasschwanz. Auf genaue Nachfrage gab sie wiederholte Episoden von Hypoglykämien an. Die Zuweisung erfolgte zur weiteren Charakterisierung eines vermuteten neuroendokrinen Tumors mittels EUS. Hierbei zeigte sich eine scharf begrenzte, oval echoarme Läsion ohne Hyperperfusion im Pankreasschwanz. Zusätzlich fand sich eine kleine Nebenmilz im Milzhilus.
Braucht die Patientin eine histologische Sicherung oder eine direkte OP bei operabler Pankreasraumforderung?

Das EUS-Bild passt bei gut abgrenzbarer Raumforderung nicht zu einem Pankreaskarzinom. NET erscheinen im Pankreas meist hypervaskularisiert, was hier nicht der Fall war. Differentialdiagnostisch kommen noch die seltenen intrapankreatische Metastasen (auch wenn im MRT kein Primarius solider Oberbauchorgane erkennbar war) oder Lymphome in Frage, deren Nachweis eine komplett andere Therapiestrategie erfordert.
Deshalb erfolgte in gleicher Sitzung eine EUS-FNB, die jedoch weder eine Metastase noch ein Lymphom ergab.
Worum könnte es sich nun noch handeln?

September 2024
Ein 87-jähriger kardial vorerkrankter Patient wurde mit einem Hb von 5.9 g/dl unter Teerstuhl bei bekannter Eisenmangelanämie nach Auftransfusion zur endoskopischen Abklärung vorgestellt. Seit mehreren Jahren erfolgte eine orale Eisensubsitution mit einem unbekannten Präparat. In der ÖGD fand sich eine schwere, H.p. negative erosive Gastritis mit multiplen Erosionen. Eine Sickerblutung wurde mit 3 Clips versorgt.


Nach 2 Monaten unter PPI-Therapie und fortgesetzter Eisensubstitution mit anhaltender Anämie (Hb 9.2 g/dl) fanden sich im Magen noch immer vereinzelte Erosionen (Bild links) und partikelförmige graue Einsprengungen (Bild rechts).
Welches Krankheitsbild liegt hier vor?


Januar 2023
Ein 81-jähriger Patient wurde mit einem Hb von 6.6g/dl unter Vollantikoagulation bei VHF und hochgradig reduzierter LV-Funktion und ohne sichtbare Blutungszeichen zur endoskopischen Abklärung vorgestellt. In der ÖGD fielen bereits im Ösophagus mehrere kleine bläulich durchschimmernde Erhabenheiten auf, ebenso im Duodenum. In der Koloskopie war das Bild noch eindrücklicher (nächste Seite). Blutungsstigmata fanden sich jedoch nirgends.
Worum handelt es sich bei den blauen Läsionen und wofür spricht der Befund?


Dezember 2022
Bei dem 49-jährigen Patienten mit großer Hiatushernie wurde extern eine auffällige Stelle im Ösophagus bei 33cm ab ZR entdeckt, die sich bei unserer Re-ÖGD so darstellte (Bild). Man muss schon genau hinsehen. Also den Ösophagus im Rückzug immer sorgfältig inspizieren!
Worum handelt es sich bei der Rauigkheit? Kleiner Tipp: es ist Plattenepithel. Im NBI-Modus erkennt man die Ränder etwas besser. Was wären die nächsten Schritte zur Untersuchung der Läsion?
Zur schrittweisen Auflösung bitte auf den unteren Link klicken und dem Fall Folie für Folie folgen. Viel Spaß!


Januar 2022
Bei dem 15-jährigen Jungen wurden aufgrund von Bauchschmerzen und Übelkeit extern im MRT eine zystische Struktur am Duodenum mit Bezug zum Pankreas festgestellt. Die Lipase war einmalig leicht erhöht. Bei Vorstellung in unserer Endoskopie war der Patient wieder beschwerdefrei. Die Gastroskopie zeigte im Duodenum die unten aufgeführte Impression mit normalem Schleimhautüberzug. Ein Passagehindernis bestand für das Gastrokop nicht. In der Endosonographie waren DHC und Pankreaskopf unauffällig. Es erfolgte eine Punktion der Zyste mit Aspiration klarer Flüssigkeit und dann eine Kontrastmitteldarstellung ohne Verbindung der Zyste mit einer Gangstruktur, wie DHC oder Pankreasgang (siehe Bild). Worum handelt es sich hier?

Juni 2021
Bei dem 79-jährigen Patient erfolgte vor 9 Jahren eine Sigmaresektion bei einem Sigmakarzinom pT2 pN0. In der externen Nachsorgekoloskopie wurde bei 43cm ab ano ein 10mm großes tubuläres Adenom histologisch gesichert, welches sich beim Unterspritzen nicht abhob (non-lifting sign). Der Patient wurde uns zur Mitbeurteilung zugewiesen.

Wie wird die Läsion beschrieben und klassifiziert? Ist das Adenom malignomsuspekt? Muss eine erneute Biopsie erfolgen? Ist eine endoskopische Therapie möglich? Wie würdet Ihr weiter vorgehen?
Mai 2021
Bei der 53-jährigen Patientin wurde in einem CT eine Weichteilverdickung im Bereich der Gallenblase und des Magens beschrieben. In der ÖGD zeigte sich folgendes Bild.

Woran denkt Ihr?
Februar 2021
Bei der 59-jährigen Patientin wurde als Zufallsbefund bei einer extern durchgeführten Gastroskopie bei Gastritis eine Erhabenheit von ca 8mm beschrieben. Die Patientin war diesbezüglich beschwerdefrei. Sie wurde uns über die Chirurgie zur Mitbeurteilung einer OP-Indikation zugewiesen. In der erneuten Endoskopie zeigte sich das folgende Bild (links Near Focus, rechts NBI):


Welche Differentialdiagnosen kommen bei dem Bild in Frage?
Was wären die nächsten Schritte?
Oktober 2020
Der 84-jährige Patient stellt sich zur Koloskopie vor. Vor einem Jahr erfolgte eine Hemikolektomie links bei stenosierendem Kolonkarzinom im Colon descendens. Er berichtet über eine unauffällige ÖGD vor 3 Monaten bei schwerer Eisenmangelanämie mit einem damaligen Hb von 5.8 g/dl (Ausgangswert 10.5 g/dl im Vorjahr). Die Transferrinsättigung betrug damals 2% (Norm 16-45) bei einem Ferritin von 2µg/l (Norm 30-300). Welche Untersuchung hätte bereits erfolgen müssen?


August 2020
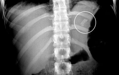
Die 23-jährige Patientin wird vom Notarzt nach selbst beigefügten Schnittverletzungen am Hals und verschluckter Rasierklinge eingeliefert. Bezüglich des Abdomens wurden keine Beschwerden angegeben. Das Röntgenbild zeigt eine halbe Rasierklinge in Projektion auf den Magen ohne freie Luft. Bei nüchterner Patientin erfolgt die ÖGD unter Sedierung. Hier zeigt sich die Radierklinge im Corpus. Was nun


Juli 2020
Die 66-jährige Patientin stellte sich zur Mitbeurteilung bei bislang extern kontrollierter Barrett-Schleimhaut mit Nachweis einer low-grade Dysplasie vor. Etwa 5mm proximal der Z-Linie fand sich eine Schleimhautinsel von maximal 8mm Durchmesser. Unter Verwendung von Distanzkappe und NBI im near focus-Modus zeigten sich einige Areale mit fokalen Irregularitäten, der untere Anteil war leicht erhaben.


September 2019
Die Patientin ist in der Kardiologie stationär bei COPD, VHF, Mitral- und Trikuspidalklappeninsuffizienz. Sie wird uns wegen seit 6 Wochen anhaltenden Diarrhoen mit 6 kg Gewichtsverlust geschickt. Nach einer unauffälligen Gastroskopie zeigt sich in der Koloskopie folgendes Bild:


März 2018
Während der Primariussuche bei unklaren Lebermetastasen zeigte sich bei dem 62-jährigen Patienten im Ösophagus bei 25 cm ab Zahnreihe dieser Befund:

April 2017
Der 61-jährige Patient stellt sich nach LTX (2012) mit Z.n. mehrfachen CMV-Reaktivierungen (Status CMV E+/S-) nach Absetzen der CMV-Prophylaxe erneut in der Ambulanz mit extern nachgewiesenem CMV vor. Der Anti-CMV IgG Titer ist deutlich angestiegen (1:33.000 gegenüber 1:6.000), die CMV-PCR aus dem Serum zeigt 1840 Kopien/ml; das pp65 ist negativ. Die Endoskopie zeigt folgendes Bild:



Zur Auflösung hier klicken
März 2017
Ein 56-jähriger Patient stellt sich bei hyperchromer Makrozytose (MCV 109 fl; Norm <97. MCH 36 pg; Norm <33) mit noch normalem Hb (13.9 g/dl) vor. Laborchemisch besteht ein Vitamin B12-Mangel (141 pmol/l; Norm >160).


Zur Auflösung hier klicken
Februar 2017
Eine 49-jährige Patientin mit metastasiertem Mammakarzinom stellt sich zur Verlaufskontrolle einer Pangastritis vor. Was zeigt das Bild der ÖGD?


Januar 2017
Bei einer Routinegastroskopie einer asymptomatischen Patientin findet sich folgender Befund im Bulbus duodeni. Worum handelt es sich hier?


Weihnachts-Special - Die sonographische Diagnose


Eine beschwerdefreie 55-jährige Patientin mit M. Crohn stellt sich zur Routine-Oberbauchsonographie vor. Im Oberbauchquerschnitt zeigt das Pankreas eine echoarme Struktur im Bereich des Pankreaskopfes. DHC und D. pancreaticus sind nicht dilatiert. Pfortader und Milzvene sind offen. Woran denkt Ihr? Welche Diagnostik sollte sich anschließen? CT, MRT, Endosonographie, Biopsie, Operation?
Dezember 2016

Der Patient klagt seit Monaten über Oberbauchschmerzen. Was zeigt die Magenspiegelung?
November 2016
Eine 36-jährige Patientin stellte sich 2013 erstmals mit Bolusobstruktion notfallmäßig in der Endoskopie vor. Es zeigte sich nach Entfernung des Fleischbolus ein Schatzki-Ring. Die Histologie der Ösophagusbiopsien zeigten ein dysplasiefreies Plattenepithel ohne signifikante Entzündung. Anamnestisch war lediglich eine Pollenallergie bekannt. Bei einem erneuten Bolusgeschehen 09/2015 zeigt sich das folgende endoskopische Bild.


Oktober 2016
Verantwortlich für die Seite: Prof. Dr. med. Ronald Koschny

