Universitätsklinikum Heidelberg

Implantatversorgung

Allgemeine Informationen

Erklärung

Patientenfall: Versorgung einer Einzelzahnlücke mit einem Implantat
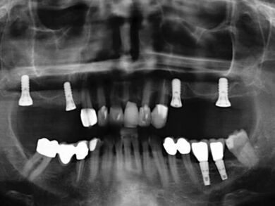
Patientenfall: Brückenversorgung auf jeweils zwei Implantaten
Patientenfall: Teleskopierende Versorgung auf Implantaten und Restzähnen