Definition der Erkrankung
Ischämischer Schlaganfall (bei zerebralem Gefäßverschluss)
Symptome
Typische Symptome sind z.B. plötzlich auftretende, schmerzlose Lähmungen einer Körperhälfte oder der Verlust der Sprache. Die Betroffenen sind dann häufig nicht mehr in der Lage, sich bemerkbar zu machen. In einem solchen Fall muss unmittelbar ein Notarzt verständigt werden, damit der Betroffene sofort in die nächstgelegene Klinik, die auf die Behandlung solcher Schlaganfälle spezialisiert ist, gebracht werden kann. Häufig gehen einem Schlaganfall auch geringere oder kurzzeitige Beschwerden, wie z.B. Sehstörungen auf einem Auge, Sprachstörungen oder ein Taubheitsgefühl / Schwäche eines Armes oder Beins voraus, die sich von selbst wieder zurückbilden. Auch dann muss so schnell wie möglich ein spezialisierter Arzt (Neurologe) kontaktiert werden, damit das Schlaganfall-Risko erkannt und abgewandt werden kann.
Ursachen
Ursache eines akuten Schlaganfalls ist in den allermeisten Fällen ein Verschluss von großen Hirnarterien durch einen Blutpfropf (Thrombus), der aus dem Herzen oder den großen Halsschlagadern mit dem Blut ins Gehirn geschwemmt wird. Seltener kann auch eine Engstelle der Hirnarterie selbst die Ursache sein. In beiden Fällen kommt es durch den Gefäßverschluss zu einer verminderten Durchblutung und so zu einem Sauerstoff-Mangel des betroffenen Hirnareals. Dies führt zunächst zu einem Erliegen der Funktionen dieses Hirnareals (z.B. Sprachezentrum, Bewegung, Sehen etc.), bei länger andauerndem Verschluss werden die Zellen irreversibel geschädigt, es kommt zum Hirninfarkt.
Ablauf der Behandlung
Bei einem Schlaganfall ist es von entscheidender Bedeutung, die Durchblutung des Gehirns schnellstmöglich wieder herzustellen. Die Standardtherapie hierfür ist die Verabreichung eines Medikaments über die Vene durch geschulte Neurologen in spezialisierten Zentren.
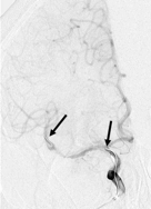
Vor allem bei besonders schweren Fällen mit Verschluss eines Gefäßhauptstamms führt diese Therapie jedoch häufig nicht zur vollständigen Heilung. Für diese Patienten besteht neben der Standardtherapie die Möglichkeit einer notfallmäßigen Wiedereröffnung des Gefäßes durch einen Kathetereingriff. Hierbei wird ein dünner Schlauch von der Leiste aus an den Verschlusses gebracht. Von dieser Stelle aus kann man mit verschiedenen Werkzeugen den Blutpfropf direkt aus dem Gefäß herauszuziehen und somit die Durchblutung des Gehirns unmittelbar wiederherstellen. Dieser Eingriff wird meist in Narkose durchgeführt. In den letzten Jahren ist die Technik der endovaskulären Gefäßeröffnung bei Patienten mit schweren akuten Schlaganfällen deutlich verbessert worden. Heute werden überwiegend stent-ähnliche Systeme eingesetzt, mit denen das Blutgerinnsel in fast allen Fällen schnell und vollständig aus dem Gehirngefäß entfernt werden kann.
Die Sektion für Interventionelle Neuroradiologie ist an der Weiterentwicklung und Erforschung neuer Techniken zur interventionellen Behandlung des akuten Schlaganfalls federführend beteiligt.



Mögliche Komplikationen / Risiken
Ein schwerer Schlaganfall stellt einen unter Umständen lebensbedrohlichen Notfall dar. Demgegenüber ist die interventionelle Wiedereröffnung des Gefäßes ein relativ risikoarmes, minimal invasives Verfahren. Mögliche Risiken sind seltene Gefäßverletzungen und Hirnblutungen.
Bei Verdacht auf einen akuten Schlaganfall sollte immer und sofort der Notarzt verständigt werden.